호산나 Case Review

Hosanna Dental Clinic


호산나치과 Case Review



범계점 Case Review

Hosanna Dental Clinic

범계점 Case Review


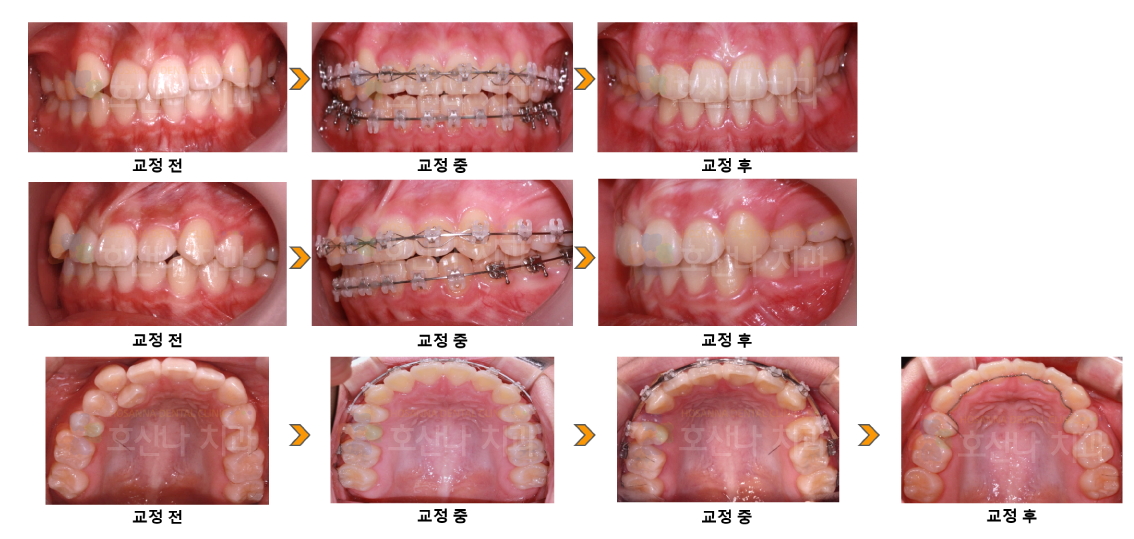
교정돌출입교정 시술 증례












<돌출입교정 시술증례 >



1. 치료대상

11y 11m / female


2. 교정치료이유

덧니 개선 원함 , 중심선이 안 맞아요


3. Dr.Koo Memo

#12 측절치가 구개측으로 locking되어 있으며 그에 따라 중심선이 우측으로 7mm 변위되어있습니다. 

하악치열은 가지런하나 돌출이 있기 때문에 얼굴의 변화를 위해서는 발치가 필요하여 발치 교정을 시행하였습니다.

중안모의 함몰이 있어 심하게 입술이 견인시 편평해져보이는 안모가 되기 때문에  발치 후 견인 시  조심스럽게 안모를 평가하면서 진행했습니다.

치열은 가지런해졌고 중심선이 개선되었습니다.

교정 후 자연스럽고 편안해보이는 안모가 되었네요.

입을 많이 넣으면 수술한 것 처럼 변화는 많을 수 있지만

자연스럽지는 않을 것 같습니다. 오히려 이렇게 조금의 변화가

더 예쁠 수도 있습니다.


4. 교정기간

1y 10m


















한결같은 마음으로 늘 양심을 지키며, 자연치아를 살리기 위해 

과잉진료 없는 진실된 치료를 하겠습니다.

아낌없는 나눔에서 오는 행복,

호산나치과는 모두가 함께 행복한 세상을 꿈꾸고 있습니다.

환자 개인의 특성에 맞춘 1:1 상담

세심한 치료

쾌적한 시설


한결같은 마음으로 늘 양심을 지키며, 자연치아를 살리기 위해 과잉진료 없는 진실된 치료를 하겠습니다.

아낌없는 나눔에서 오는 행복, 

호산나치과는 모두가 함께 행복한 세상을 꿈꾸고 있습니다.

환자 개인의 특성에 맞춘 1:1 상담

세심한 치료

쾌적한 시설