호산나 Case Review

Hosanna Dental Clinic


호산나치과 Case Review



범계점 Case Review

Hosanna Dental Clinic

범계점 Case Review


교정소아교정 증례













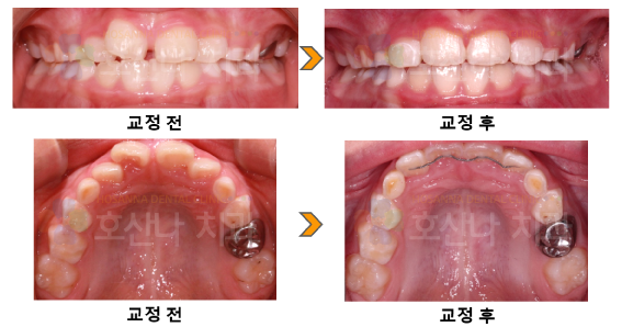
< 소아교정 >



1. 치료대상

8y 9m


2. 환자분 c.c

 앞니가 비뚤어요


3. Dr.Koo Memo

 상악전치의 크라우딩으로 인해 하악전치와 대합되면 치아에 외상이 가해지면서 치근흡수나 치은퇴축이 발생할 수 있습니다.

해당 아이도 치근이 짧고 치은퇴축이 있어 영구치열 완성 전이지만 앞니부위만 빠르게 개선을 해주었습니다.

교정 후  기능적,심미적으로 개선된 모습입니다.


4. 교정기간

2m
















한결같은 마음으로 늘 양심을 지키며, 자연치아를 살리기 위해 

과잉진료 없는 진실된 치료를 하겠습니다.

아낌없는 나눔에서 오는 행복,

호산나치과는 모두가 함께 행복한 세상을 꿈꾸고 있습니다.

환자 개인의 특성에 맞춘 1:1 상담

세심한 치료

쾌적한 시설


한결같은 마음으로 늘 양심을 지키며, 자연치아를 살리기 위해 과잉진료 없는 진실된 치료를 하겠습니다.

아낌없는 나눔에서 오는 행복, 

호산나치과는 모두가 함께 행복한 세상을 꿈꾸고 있습니다.

환자 개인의 특성에 맞춘 1:1 상담

세심한 치료

쾌적한 시설