치아교정 프로그램

개방/과개교합교정

Hosanna Dental Clinic

개방/과개교합교정

개방교합과 과개교합은 대표적인 부정교합의 종류입니다. 

이러한 부정교합들은 일상생활의 불편함이 크고

각종 질환과 증상의 주범이 됩니다. 


호산나치과는 이러한 부정교합의 해결을 위해 

개방/과개교합교정을 운영하고 있습니다.



개방교합


개방교합과 그 문제점에 대해 

설명해 드리겠습니다.


개방교합이란?

개방교합이란 이를 다물었을 때 

윗니, 아랫니가 서로 제대로 닿지 않아 벌어져 있는 형태이며 

부정교합의 일종입니다. 


주로 성장기 아동에게서 자주 발견되는 유형이며

주 원인으로는 선천적인 유전, 손가락 빨기와 같은 좋지 않은 습관, 

앞니의 열성장 또는 어금니의 과성장이 있습니다.



개방교합 문제점

01   구강호흡이 습관화되며 자연스럽게 개방교합 심화


02   입 안이 건조, 충치와 치주 질환 위험성 증가 


03   구강호흡으로 인해 발음이 어려워짐


04   앞니의 기능 약화로 저작기능 약해짐


05   치아 및 입 주변 근육이 긴장한 상태를 유지함


06   얼굴형이 길어짐, 잔주름 증가


07   입 냄새가 비교적 심해짐

과개교합


과개교합과 그 문제점에 대해

설명해 드리겠습니다.


과개교합이란?

윗니가 아랫니를 

정상적인 상태보다 깊게 덮고 있는 상태를 

과개교합으로 부릅니다. 


턱을 괴거나 딱딱한 음식을 많이 먹는 습관도 

발생 원인 중 하나입니다만 주된 원인은 선천적인 유전에 

의한 경우가 많은 부정교합입니다.



과개교합 문제점

01  이를 다물 때  부하되는 힘이 강하여 턱관절에 무리를 줌


02   코골이, 비염, 편도선염 등 이비인후과적 문제 유발


03   정확한 발음과 저작이 어려워짐


04   아랫니가 입 천장을 자극하면서 염증을 유발함


05   윗니가 점점 깊게 물림으로 인해 손상 위험 증가


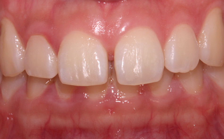
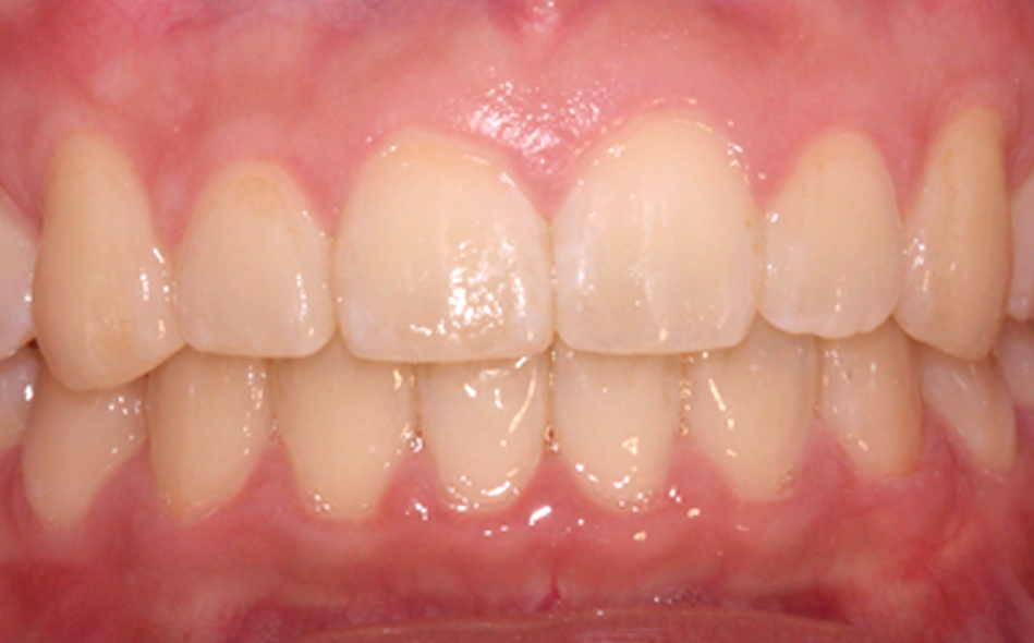
개방/과개교합교정 전/후 사진


호산나치과에서 개방교합, 과개교합 교정이 

진행된 사례의 전/후사진 입니다.

과개교합 교정 사례 - 교정 전

과개교합 교정 사례 - 교정 후


개방교합 교정 사례 - 교정 전

개방교합 교정 사례 - 교정 후 


한결같은 마음으로 늘 양심을 지키며, 자연치아를 살리기 위해 

과잉진료 없는 진실된 치료를 하겠습니다.

아낌없는 나눔에서 오는 행복,

호산나치과는 모두가 함께 행복한 세상을 꿈꾸고 있습니다.

환자 개인의 특성에 맞춘 1:1 상담

세심한 치료

쾌적한 시설

치아교정 프로그램

개방/과개교합교정

Hosanna Dental Clinic

개방/과개교합교정

개방교합과 과개교합은 대표적인 부정교합의 종류입니다.

이러한 부정교합들은 일상생활의 불편함이 크고 각종 질환과 증상의 주범이 됩니다.


호산나치과는 이러한 부정교합의 해결을 위해 개방/과개교합교정을 운영하고 있습니다.

개방교합


개방교합과 그 문제점에 대해 설명해 드리겠습니다.


개방교합이란?

개방교합이란 이를 다물었을 때 

윗니, 아랫니가 서로 제대로 닿지 않아 벌어져 있는 형태이며 부정교합의 일종입니다.


주로 성장기 아동에게서 자주 발견되는 유형이며 주 원인으로는 

선천적인 유전, 손가락 빨기와 같은 좋지 않은 습관, 앞니의 열성장 또는 어금니의 과성장이 있습니다.



개방교합 문제점

01  구강호흡이 습관화되며 자연스럽게 개방교합 심화


02  입 안이 건조, 충치 치주 질환 위험성 증가


03  구강호흡으로 인해 발음이 어려워짐


04  앞니의 기능 약화로 저작기능 약해짐


05  치아 및 입 주변 근육이 긴장한 상태를 유지


06  얼굴형이 길어짐, 잔주름 증가


07  입 냄새가 비교적 심해짐

과개교합


과개교합과 그 문제점에 대해 설명해 드리겠습니다.


과개교합이란?

윗니가 아랫니를 정상적인 상태보다 깊게 덮고 있는 상태를 과개교합으로 부릅니다.


턱을 괴거나 딱딱한 음식을 많이 먹는 습관도 발생 원인 중 하나입니다만

주된 원인은 선천적인 유전에 의한 경우가 많은 부정교합입니다.



과개교합 문제점

01  이를 다물 때 어금니에 부하되는 힘이 강하여 턱관절에 무리를 줌


02  코골이, 비염, 편도선염 등 이비인후과적 문제 유발


03  정확한 발음과 저작이 어려워짐


04  아랫니가 입 천장을 자극하면서 염증을 유발함


05  윗니가 점점 깊게 물림으로 인해 손상 위험 증가

개방/과개교합교정 전/후 사진


호산나치과에서 개방교합, 과개교합 교정이 진행된 사례의 전/후사진 입니다.

과개교합 교정 사례 - 교정 전

개방교합 교정 사례 - 교정 전

과개교합 교정 사례 - 교정 후

개방교합 교정 사례 - 교정 후


한결같은 마음으로 늘 양심을 지키며, 자연치아를 살리기 위해 과잉진료 없는 진실된 치료를 하겠습니다.

아낌없는 나눔에서 오는 행복, 

호산나치과는 모두가 함께 행복한 세상을 꿈꾸고 있습니다.

환자 개인의 특성에 맞춘 1:1 상담

세심한 치료

쾌적한 시설